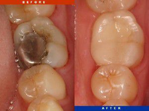
Trám răng có đau không? Trám răng là một phương pháp điều trị thông thường trong nha khoa, sử dụng vật liệu để trám lại lỗ sâu mà không hề gây cho bạn cảm giác đau hay khó chịu. Khi các lỗ sâu còn nhỏ hay mới chớm sâu, bạn nên trám lại để bảo vệ cho men răng và ngà răng, tránh tình trạng sâu năng hơn để phải lấy tủy.
Vật liệu trám được sử dụng phổ biến hiện nay đó là composite, khi trám bằng vật liệu này sẽ có màu y như răng thật, có khả năng chịu lực, độ bền cao và được nghiên cứu là không gây hại cho cơ thể.
Trám răng như thế nào? Trước tiên, bác sĩ sẽ dùng khoan để lấy sạch những vụn thức ăn, ngà sâu trong lỗ sâu răng để làm sạch răng. Sau đó sẽ dùng vật liệu trám để phủ lên lớp men răng đã bị sâu, làm đầy lổ sâu răng, ngăn không cho các vi khuẩn, hóa chất gây hại đến tủy răng. Trong một số trường hợp bị sâu lớn, gần tủy nên sẽ có cảm giác hơi ê buốt, khi đó bác sĩ sẽ đặt thuốc để theo dõi 2-3 ngày rồi mới trám lại sau lần hẹn kế tiếp.

.
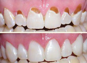
Trám răng trong những trường hợp sau: sâu răng ở bề mặt men răng, mòn cổ răng do quá trình vệ sinh răng miệng không kỹ, thức ăn bị nhét lại ở các kẽ răng hoặc do vệ sinh không đúng cách, chải răng theo chiều ngang làm mòn men răng lộ lớp ngà răng gây cảm giác ê buốt, khó chịu…. Vì vậy, Khi phát hiện mình bị sâu răng, bạn cần phải trám lại để bảo vệ lớp ngà răng hay tránh tình trạng sâu răng ngày càng lớn buột phải lấy tủy.
Với những chia sẻ trên, mong rằng sẽ giúp cho bạn giải tỏa được sự lo lắng liệu “Trám răng có đau không?”. Bên cạnh việc vệ sinh răng miệng đúng cách, bạn nên đi kiểm tra răng định kỳ 6 tháng/lần để cạo vôi răng và phát hiện sớm những bất thường về răng để điều trị kịp thời.
Các tin khác