NHA KHOA TOÀN CẦU - CHĂM SÓC NỤ CƯỜI CỦA BẠN
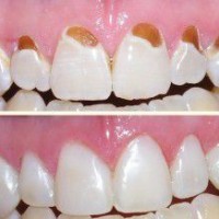
Trám răng là phương pháp điều trị phổ biến trong nha khoa, tuy nhiên không phải ai cũng biết rõ phương pháp trám răng này.
Trám răng được thường sử dụng trong các trường hợp sau: Sâu răng: dùng vật liệu trám để bịt kín lỗ sâu răng, ngăn không cho vi khuẩn hoặc các tác nhân bên ngoài như nhiệt độ, hoá chất tấn công, huỷ hoại tuỷ răng.
Trám răng có đau không? Trám răng là một phương pháp điều trị thông thường trong nha khoa, sử dụng vật liệu để trám lại lỗ sâu mà không hề gây cho bạn cảm giác đau hay khó chịu. Khi các lỗ sâu còn nhỏ hay mới chớm sâu, bạn nên trám lại để bảo vệ cho men r
Trám răng thẩm mỹ là thủ thuật nhà khoa dùng vật liệu y tế chuyên dụng, trám, bù đắp một phần hoặc toàn phần vào phần răng bị khuyết do sâu răng hoặc răng bị vỡ (bể) do tai nạn.
Trám răng không phải là phương cách để chấm dứt sâu răng vì phòng ngừa sâu răng mới làm giảm được sâu răng. Còn khi để răng bị sâu rồi mới chữa chỉ là đối phó vì lỗ sâu đã trám rồi chỉ là tạm thời làm ngưng sâu răng, nếu không giữ gìn răng miệng sạch sẽ t
Phòng sâu răng rất quan trọng cho sức khỏe răng miệng và cơ thể của bạn. Sâu răng ó thể gây đau, nhiễm trùng, thậm chí mất răng. Vì vậy đừng băn khoăn khi quyết định “khoác” cho “cửa sổ tâm hồn” lớp bảo vệ khi chúng chưa có dấu hiệu gì.
Ðánh răng đúng cách giúp giảm thiểu được nguy cơ mắc các chứng bệnh sâu răng và cơ lợi, một nguyên nhân chính làm cho răng rụng. Sử dụng bàn chải mềm và kem đánh răng có chất florua được chứng nhận bởi Hội Nha Hoa Kỳ (ADA) để làm sạch các mảng bợn răng và
Trám răng là một biện pháp điều trị trong nha khoa rất phổ biến, tuy vậy không phải ai cũng hiểu rõ bản chất và hiệu quả của phương pháp này.
Amalgam thường được sử dụng như một vật liệu trám các răng sau. Theo Thạc sĩ, Bác sĩ : trám Amalgam được dùng thành công trong 150 năm nay và chất lượng của nó cũng tăng dần theo thời gian.
Thông thường, 80% xoang sâu tập trung ở hố rãnh mặt nhai, mặt ngoài răng hàm hàm dưới, mặt trong răng hàm hàm trên. Các hố rãnh sâu, dễ đọng thức ăn và khó chải rửa sạch là nơi lý tưởng cho vi khuẩn trú ngụ.

Hỗ trợ khách hàng

Đăng ký khám

Chưa nhập họ & tên.
Chưa nhập địa chỉ.
Chưa nhập giờ khám.
Chưa nhập nội dung.

Hình ảnh nha khoa

Liên kết đối tác