NHA KHOA TOÀN CẦU - CHĂM SÓC NỤ CƯỜI CỦA BẠN

Khi răng của bạn bị lệch lạc, khấp khểnh bạn không thể cắn hay nhai thức ăn một cách chính xác và bình thường được. Điều này có thể dẫn đến rối loạn dạ dày
 

- Để quá trình nhai, cắn suôn sẻ:

Bạn biết không, nếu bạn đang sở hữu những chiếc răng cong hoặc lệch có thể gây ra vấn đề  khó khăn với quá trình cắn và cách bạn nhai các thực phẩm đấy. Điều này thể dẫn đến các các tổn thương lớn ở hàm và thậm chí gây ra đau đầu, đau lưng cho bạn.
Khi răng của bạn đang khấp khểnh, nhô ra, bạn có thể không cắn hay nhai thức ăn một cách chính xác và bình thường được. Điều này có thể dẫn đến rối loạn dạ dày.

- Bảo đảm hàm răng tốt khoẻ lâu dài: Khi răng của bạn bị lệch lạc, khấp khểnh, cái nhô ra thụt vào thì bạn khó có thể đánh răng sạch vì thế răng của bạn rất dễ bị sâu răng gây đau nhức, hôi miệng, ăn không ngon, ngủ không ngon... ảnh hưởng đến công việc và chất lượng cuộc sống của bạn.

- Tính thẩm mỹ :
Một số người tuy không thực sự cần niềng răng, nhưng khi nhận thức được căn nguyên và hậu quả, họ cũng quyết định niềng răng vì muốn cải thiện hơn nữa nụ cười hoàn hảo của mình.
Thực tế, nhiều người đã có hàm răng khá thẳng vẫn sẵn sàng trải qua một vài tháng hoặc vài năm để chỉnh hình răng nhằm sở hữu một nụ cười hoàn hảo hơn. 
 
- Giảm áp lực cho quai hàm :
Nhiều người thường có hàm răng trên hoặc hàm dưới hơi bị hô quá nhiều về phía trước. Cả hai điều này đều có thể có hại cho hàm răng và dẫn đến căng thẳng trong quai hàm, khiến bạn khó khăn trong các hoạt động nhai, cắn. Điều này có thể gây tổn hại xương hàm và đau khớp thái dương hàm.


- Đầu tư cho sức khỏe tương lai :
Vấn đề hơi thở của bạn có thể phát triển khi bạn về già điều này làm thay đổi sức khỏe răng miệng của bạn. Lúc ấy, khuôn mặt bạn trở nên mất cân đối, hàm răng nhô ra, hiện tượng mài hoặc nghiến chặt răng, khó giữ đôi môi bạn với nhau, quá nhiều răng bị mòn và ngắn, gặp phiền toái với rụng răng…
Nếu bạn quyết định niềng răng quá trễ, khi xương hàm và răng của bạn đã mất cân đối quá lớn thì khi đó có thể bạn không thể niềng răng một cách nhẹ nhàng bình thường được mà phải phối hợp với phẩu thuật thẩm mỹ thì mới đem lại vẻ đẹp rạng rỡ cho nụ cười của bạn ( mà đúng ra bạn đã có từ trước với chi phí rất thấp)
Tóm lại  quyết định niềng răng bây giờ chính là cách bạn đang đầu tư cho sức khỏe nhằm hạn chế và giảm thiểu những bệnh tật đáng tiếc có thể xảy ra.
 
Niềng răng có đau không ?

 
 Khi bạn đã niềng răng, bạn có thể cảm thấy ê ê các răng của bạn trong khoảng 3-5 ngày. Tuy nhiên, điều này có thể được thuyên giảm bằng cách vệ sinh miệng bằng nước súc miệng hoặc một chút nước muối ấm. Bạn có thể hòa tan một thìa muối trong 1 cốc nước ấm và súc miệng mạnh.
Nếu sự đau đớn là nghiêm trọng, bạn có thể dùng thuốc aspirin, Alaxan... hoặc bất cứ biện pháp nào để giảm đau tương tự như đau đầu.
Ngoài ra môi, má và lưỡi cũng có thể trở nên bị kích thích 1-2 tuần. Sau đó bạn sẽ nhanh chóng quen với các bề mặt của khí cụ niềng răng, sẽ cảm thấy bình thường và không còn thấy đau gì nữa.

 
Niềng  răng nên tránh những thực phẩm nào?

 
- Những thực phẩm dai ( khô mực, khô cá đuối...)
- Những thực phẩm cứng (các loại quả cứng, kẹo cứng) 
- Những thực phẩm bạn phải cắn vào: bắp ngô, táo, cà rốt
- Nhai vào những vật dụng như bút mực, bút chì hoặc móng tay) có thể gây thiệt hại cho niềng răng.

Niềng  răng ở đâu đẹp?

 
Bạn đang tìm trung tâm nha khoa để chỉnh sửa hàm răng xấu xí của mình ? Bạn đang tìm trung tâm nha khoa uy tín với trang thiết bị hiện đại cùng đội ngũ bác sĩ giàu kinh nghiệm, từng tu nghiệp tại nước ngoài, hết lòng với bệnh nhân. Những điều bạn muốn đều được trung tâm nha khoa Toàn Cầu chúng tôi đáp ứng với chất lượng phục vụ tốt nhất, giá cả hợp lý.
 
Niềng răng thưa :

 
- Răng thưa là gì ?
Răng thưa là tình trạng có khe hở giữa các răng. Răng thưa xảy ra khi có hiện tượng di răng (hậu quả của mất răng) hay răng quá nhỏ so với cung hàm. Hầu hết những than phiền về vấn đề này là khe hở rộng giữa các răng gây mất thẩm mỹ. Ngoài ra, thắng môi bám thấp cũng là một nguyên nhân thường gặp của hở kẽ giữa hai răng cửa giữa.
- Phương pháp niềng răng thưa ?
-Hàn đóng khe thưa bằng vật liệu composite thẩm mỹ giống như màu răng của bạn, tức là hàn cho mỗi răng bên cạnh khe thưa to ra một chút. Cách này rất nhẹ nhàng không phải mài răng, thời gian chỉ khoảng 15 phút cho một khe thưa, thường áp dụng cho những khe thưa nhỏ < 2mm.Với phương pháp này bạn cần giữ gìn hạn chế cắn đồ cứng và thay đổi nhiệt độ đột ngột trong miệng ( VD: Ăn đồ nóng + Uống nước đá )
-Làm chụp sứ cho nhưng răng bên cạnh khe thưa: Cách này hiệu quả, răng bóng đẹp, độ cứng, bền cao, những răng quá thưa có thể chia lại khoảng cách và thêm răng sao cho cân đối hài hòa. Cách này chi phí cao và cần phải mài bớt một lớp ngoài của răng.
-Chỉnh nha: Dùng mắc cài cố định trên răng, tác động trên dây cung bằng lực nhẹ, kéo các răng từ từ lại gần nhau. Cách này giữ nguyên răng của bạn, tuy nhiên giá tiền có đắt hơn, thời gian kéo và cố định lâu từ 1-2 năm.
Tùy vào tình trạng của bệnh nhân nên khi đến với nha khoa Hàn Quốc chúng tôi sẽ tư vấn và đưa ra phương pháp hiệu nhất.
Niềng răng thưa giúp bạn có hàm răng đẹp  hoàn hảo và phát âm chuẩn hơn

 
- Niềng răng thưa có lợi gì ?
.Niềng răng thưa sẽ giúp bạn có hàm răng đẹp, tạo cho bạn sự tự tin trong giao tiếp.
.Khoảng cách giữa các răng khít vào nhau nên tránh được việc thức ăn bám vào khe răng,  phát sinh vi khẩn gây hại răng.
.Phát âm chuẩn hơn

-Niềng răng thưa tại nha khoa Toàn Cầu có tốt không?
Bạn đang tìm trung tâm nha khoa để chỉnh sửa hàm răng  chưa hoàn hảo của mình ? Bạn đang tìm trung tâm nha khoa uy tín với trang thiết bị hiện đại cùng đội ngũ bác sĩ giàu kinh nghiệm, từng tu nghiệp tại nước ngoài, hết lòng với bệnh nhân. Những điều bạn muốn đều được trung tâm nha khoa Toàn Cầu chúng tôi đáp ứng với chất lượng phục vụ tốt nhất, giá cả hợp lý.
        Trung tâm nha khoa Toàn Cầu
     Đ/c duy nhất: 228 Hoà Hảo, P3, Q10, Tp Hồ Chí Minh

 
Niềng răng hô :

- Răng hô là gì ?
-Răng bị chìa ra phía trước: Đây là nguyên nhân thường gặp nhất và rất nhiều người sẽ dễ dàng đồng ý. Răng bị chìa ra làm mất thẩm mỹ vùng răng cửa khi cười, thậm chí một số trường hợp sẽ không thể khép môi được khi bệnh nhân thả lỏng cơ môi.
-Môi căng, hàm dưới lùi: Đây là đặc điểm khó nhìn nhận ra nhất, là điều mà bệnh nhân hay than phiền nhất rằng mình bị "hô" nhưng không thể trả lời cụ thể hô như thế nào. Những trường hợp này thường là có chỉ định nhổ răng.
-Cung hàm hẹp, nổi bật các răng cửa: Khi cung hàm bị hẹp, các răng cửa sẽ có xu hướng nổi bật và chìa ra phía trước, làm tăng cảm giác "hô". Ở những trường hợp này, cần rất thận trọng với chỉ định nhổ răng.
-Hô 2 hàm: Những trường hợp này bệnh nhân thường thấy mình hô khá nhiều. Môi bệnh nhân căng và không tự khép lại được ở tư thế nghỉ tự nhiên. Nhổ răng thường được chỉ định cho trường hợp này.

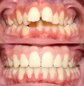
Ảnh trước và sau niềng răng hô

 
- Phương pháp điều trị niềng răng hô như thế nào ?
+ Niềng răng  cho người trưởng thành:
Ở người trưởng thành, khối xương hàm mặt đã ổn định và không còn sự phát triển hay thay đổi trong tương lai. Kế hoạch điều trị thường là bù trừ và sửa chữa chững khiếm khuyết hiện có, nên chỉ định nhổ răng thường được đặt ra. Một số trường hợp, bác sĩ nha khoa  sẽ chỉ định đặt Implant chỉnh nha để hỗ trợ cho điều trị.
Như vậy, ở người trưởng thành, điều trị vẫn có thể đạt được kết quả tối ưu, nhưng sẽ có chỉ định nhổ răng và đặt Implant  để đạt được kết quả cao nhất.
Chỉnh nha ở người trưởng thành không bị lệ thuộc vào các yếu tố như tuổi tác (là một điều mà bệnh nhân rất thường hỏi bác sĩ chỉnh nha), mà thường hay phụ thuộc vào yếu tố tâm lý, chẳng hạn như "ngại" mang mắc cài, "ngại" thời gian lâu, "ngại" người khác thấy mình niềng răng. Vì vậy bác sĩ sẽ luôn phải động viên cho bệnh nhân. Bạn cũng có thể chọn mắc cài sứ mới có màu trong suốt như Damon Clear để người khác gần như không thấy bạn mang mắc cài.
+ Niềng răng  cho trẻ em:
Ở trẻ em, nếu được điều trị sớm trước 16 tuổi, tỉ lệ nhổ răng số 4 để chỉnh nha (từ răng cửa giữa số 1 đếm vào trong đến răng số 4, kế bên răng nanh) giảm xuống dưới 10%! Bác sĩ nha khoa  sẽ dựa vào sự phát triển của trẻ ở tuổi dậy thì để đưa ra kế hoạch điều trị hợp lý và tốt nhất.

Hỗ trợ khách hàng

Đăng ký khám

Chưa nhập họ & tên.
Chưa nhập địa chỉ.
Chưa nhập giờ khám.
Chưa nhập nội dung.

Hình ảnh nha khoa

Liên kết đối tác