NHA KHOA TOÀN CẦU - CHĂM SÓC NỤ CƯỜI CỦA BẠN
Ngày càng nhiều các cháu có hàm răng lệch lạc khiến cha mẹ băn khoăn về tình trạng này của con mình. Thực tế cũng đã có rất nhiều bậc cha mẹ cho con cháu mình đi nắn chỉnh răng để chữa trị cho những
Người có cung răng hẹp, răng bình thường hoặc răng to. - Người có cung răng bình thường nhưng răng to.
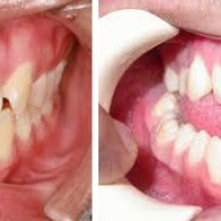
Răng mọc chen chúc là tình trạng thường gặp nhất, chiếm tỉ lệ cao nhất trong rối loạn khớp cắn. Nhưng ngày nay, có một phương pháp khác, thời gian điêu trị rất ngắn mà không cần phải nhổ răng. Niềng răng là giải pháp tốt nhất cho vấn đề này.
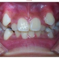
Răng chen chúc làm cho bạn khó ăn nhai và không tự tin khi cười. Bạn đừng lo, việc điều trị ít khi phải nhổ răng, thời gian điều trị rút ngắn mà hiệu quả cao
Răng bình thường "xếp hàng" đều đặn sát nhau trên một đường cung. Khi việc này bị xáo trộn, căc răng chen lấn nhau và lệch về nhiều phía gây ra răng chen chúc.
Sự bất hài hoà giữa kích thước Răng và hàm có thể dẫn đến tình trạng Răng mọc bất thường hoặc chen chúc.
Răng chen chúc (crowding) là tình trạng thường gặp nhất, chiếm tỉ lệ cao nhất trong rối loạn khớp cắn. Điều may mắn là ngày nay, điều trị răng chen chúc ít khi phải nhổ răng, thời gian điều trị rút ngắn chỉ khoảng 12-18 tháng mà kết quả thì cải thiện đáng

Hỗ trợ khách hàng

Đăng ký khám

Chưa nhập họ & tên.
Chưa nhập địa chỉ.
Chưa nhập giờ khám.
Chưa nhập nội dung.

Hình ảnh nha khoa

Liên kết đối tác