NHA KHOA TOÀN CẦU - CHĂM SÓC NỤ CƯỜI CỦA BẠN
Về mặt điều trị, phải lưu ý những dấu chứng lâm sàng và xem đây là các mục tiêu của điều trị nha chu. Trong đó yếu tố thẩm mỹ hẳn nhiên là một trong những mục tiêu khó quyết định nhất, tương ứng với đòi hỏi cao của bệnh nhân.
Bệnh nha chu là một bệnh khá phổ biến trong cộng đồng người Việt Nam. Theo điều tra dịch tể học của Viện Răng hàm mặt Hà Nội, 60% dân số ở độ tuổi 35-45 bị bệnh Nha chu
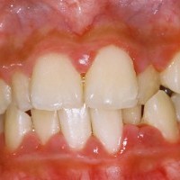
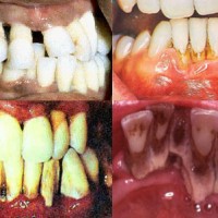
Nha chu liên quan trực tiếp đến mô nâng đỡ quanh chân răng, bao gồm bệnh của nướu và các bệnh lý phá hủy mô nâng đỡ sâu bên dưới nướu (xương ổ răng, dây chằng nha chu...). Nha chu là nguyên nhân quan trọng gây mất răng
Bệnh nha chu là một bệnh rất phổ biến của vùng răng miệng. Bệnh này hay gặp ở lứa tuổi trung niên, người già và là một trong những nguyên nhân thường gặp của tình trạng mất răng ở người lớn.
Tác nhân gây nên bệnh nha chu: nguyên nhân chính gây ra bệnh nha chu là mảng bám vi khuẩn, đặc biệt là các vi khuẩn Gram âm.
Nha chu là bệnh của các mô quanh răng. Nếu không được điều trị, bệnh tiến triển đưa đến mất răng. Bệnh nha chu tiến triển chậm, không có các dấu hiệu gì đặc biệt, không đau, hoặc ít đau nên nhiều người thường bỏ qua.

Hỗ trợ khách hàng

Đăng ký khám

Chưa nhập họ & tên.
Chưa nhập địa chỉ.
Chưa nhập giờ khám.
Chưa nhập nội dung.

Hình ảnh nha khoa

Liên kết đối tác