Trám răng là phương pháp điều trị phổ biến trong nha khoa, tuy nhiên không phải ai cũng biết rõ phương pháp trám răng này.
Trám răng là gì?
Trám răng là một cách để khôi phục lại một chiếc răng bị hư hỏng như những răng bị sâu, sứt, mẻ giúp răng của bạn trở lại hình dạng và chức năng bình thường của nó. Khi một nha sĩ trám răng cho bạn, điều đầu tiên là sẽ loại bỏ các phần răng bị hư hỏng, làm sạch các khu vực bị ảnh hưởng, và sau đó trám đầy phần răng bị hư vừa làm sạch với chất liệu nhân tạo dùng để trám răng.
Bằng cách trám đầy các không gian mà vi khuẩn có thể nhập, trám răng cũng giúp ngăn ngừa sâu răng trở nên nghiêm trọng hơn. Vật liệu được sử dụng để trám răng bao gồm vàng, sứ , một loại nhựa tổng hợp (các chất hàn răng có màu), và Amalgam ( thủy ngân, bạc, đồng, thiếc và đôi khi kẽm).
Loại vật liệu trám răng nào là tốt nhất ?
Không có một vật liệu trám răng nào là tốt nhất cho tất cả mọi người. Điều đó tuỳ thuộc vào mức độ của việc sửa chữa răng củ bạn và bạn có bị dị ứng với một số vật liệu. Cân nhắc cho các vật liệu trám răng khác nhau bao gồm:
Trám vàng được thực hiện để đặt trong phòng thí nghiệm và sau đó gắn vào vị trí. Khảm vàng được dung nạp tốt ở mô nướu, và có thể kéo dài hơn 20 năm. Đối với những lý do này, nhiều trung tâm nha khoa xem vàng là vật liệu làm tốt nhất. Tuy nhiên, nhược điểm của nó thường là lựa chọn đắt tiền nhất.
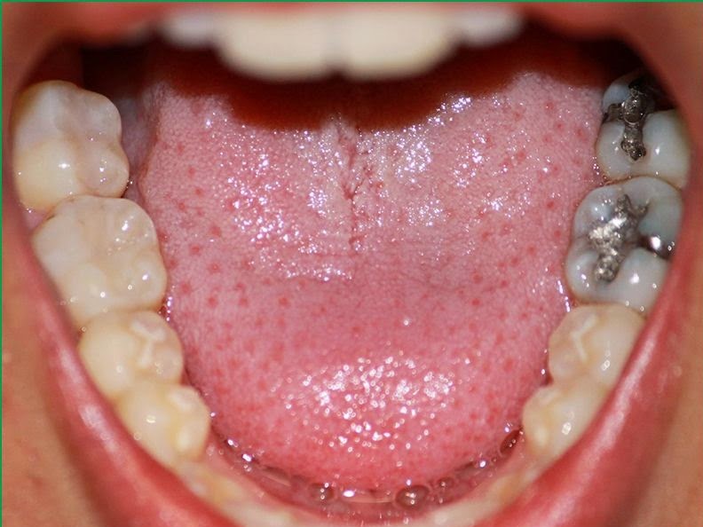
Trám răng bằng vật liệu Amalgam (bạc)
Amalgam (bạc) được tạo nên từ hợp kim thủy ngân, bạc, đồng, thiếc và đôi khi kẽm. Amalgam có màu bạc nên người ta hay gọi là trám bạc – trám Amalgam, vật liệu này tương đối rẻ tiền và có độ bền cao. Tuy nhiên, do Amalgam có màu tối nên thường được dùng để trám các răng phía trong răng hàm, răng cối lớn – nhai nghiền thức ăn nhiều.
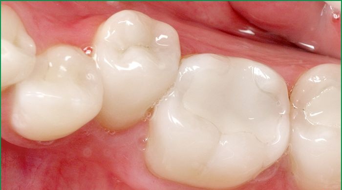
Trám răng Composite bằng vật liệu được ưa chuộng hiện nay do có màu sắc tương tự như răng mang tính thẫm mỹ cao (chuyên dùng trám răng thẫm mỹ) và do đó được sử dụng cho những ai có mong muốn giống như răng tự nhiên. Composites không phải là vật liệu lý tưởng cho trám răng trình trạng nghiêm trọng. Màu sắc của Composite không kéo dài như các loại khác, do sử dụng nhiều cà phê, chè, thuốc lá do đó màu sắc của các chất hàn Composit thông thường kéo dài từ ba đến 10 năm và độ chịu lực không cao.

Trám răng bằng vật liệu Composite (nhựa)
Trám răng bằng sứ nó xem là giải pháp được đánh giá cao bởi nó đem lại tính thẩm mỹ cao mà còn tuổi thọ và độ bền cao. Tuy nhiên để thức hiện trám răng bằng sứ phải ít nhất 2 lần và chi phí cao.
Điều gì xảy ra khi bạn trám răng?
Nếu nha sĩ của bạn quyết định để điền vào một khoang, các nha sĩ sẽ loại bỏ các phần hư hỏng của răng và làm sạch các khu vực bị ảnh hưởng. Sau khi làm sạch, răng sẽ được trám đầy với bất kỳ của nhiều loại vật liệu mô tả ở trên mà bác sĩ nha khoa lựa chọn sao cho phù hợp với bạn.
Làm thế nào để biết cần phải trám răng?
Chỉ có nha sĩ của bạn có thể phát hiện liệu răng bạn có một phần bị hư hỏng mà cần phải được trám đầy hay không. Trong thời gian kiểm tra răng miệng, nha sĩ sẽ sử dụng một chiếc gương nhỏ để kiểm tra bề mặt của mỗi răng. Vì thế việc khám răng định kỳ rất quan trọng để bác sĩ có thể phát hiện các vấn đề của răng bạn mắc phải để có những biện pháp chữa trị kịp thời.