NHA KHOA TOÀN CẦU - CHĂM SÓC NỤ CƯỜI CỦA BẠN
Chào bác sĩ, em năm nay 20 tuổi, răng em có nhiều vết ố vàng dính trên răng và quanh cổ răng. Theo tìm hiểu thì em biết đó là vôi răng, nay em muốn đi cạo vôi để làm sạch những mảng bám đó! Bác sĩ có thể tư vấn cho em biết cạo vôi có lâu không
Lấy vôi răng và làm sạch vôi răng không chỉ vì mục đích thẩm mỹ mà còn vì sức khỏe, bởi vôi răng chính là "thủ phạm" gây ra phiền toái cho sức khỏe răng miệng.
Ba tháng là thời đểm thích hợp cạo vôi vì vôi răng lúc này vừa mới hình thành, chưa thành từng mảng cứng chắc. Khi lấy vôi, dụng cụ lấy vôi chỉ cần rung ở tốc độ nhỏ vôi cũng rã nên không làm ê răng.
Sáng nay em mới đi lấy cao răng. Về nhà thấy chỗ 2 chiếc răng cửa xuất hiện vết nứt dọc. Lần trước bạn em đi lấy cũng bị mẻ 1 chiếc răng cửa.
Nay em muốn cạo vôi, bác sĩ cho em hỏi cạo vôi răng có đau không ? có chảy máu không, vì em sợ đau lắm. Cạo vôi có ảnh hưởng gì đến men răng không? Em cảm ơn bác sĩ nhiều!
Bạn đến thăm nha sĩ mỗi 6 tháng để được kiểm tra và làm sạch răng miệng, và trong một lần đến khám, nha sĩ nói rằng bạn đã bị bệnh về nướu. Bệnh nướu là một hiện tượng viêm ở nướu, có thể ảnh hưởng đến răng và xương nâng đỡ. Vi khuẩn mảng bám, acid và thứ
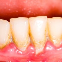
Hôm nay Nha Khoa Toàn Cầu sẽ chỉ cho các bạn biết vôi răng là nguyên nhân chính gây viêm nướu, viêm nha chu, khiến hơi thở có mùi hôi… Nên cạo vôi răng 6 tháng một lần để đảm bảo sức khỏe răng miệng.
Bạn gái nào cũng mơ ước mình có được một hàm răng trắng, bóng, đều. Nhưng, cùng với tác động của các yếu tố bên ngoài cũng như các yếu tố bên trong, không phải ai cũng có hàm răng đẹp.
Vôi răng là nguyên nhân chính gây viêm nướu, viêm nha chu, khiến hơi thở có mùi hôi... Nên cạo vôi răng 6 tháng một lần để đảm bảo sức khỏe răng miệng.

Hỗ trợ khách hàng

Đăng ký khám

Chưa nhập họ & tên.
Chưa nhập địa chỉ.
Chưa nhập giờ khám.
Chưa nhập nội dung.

Hình ảnh nha khoa

Liên kết đối tác