NHA KHOA TOÀN CẦU - CHĂM SÓC NỤ CƯỜI CỦA BẠN

Khác với nhiều phương pháp thẩm mỹ nụ cười thường được sử dụng cho kết quả rất nhanh trong thời gian khá ngắn. Niềng răng cần một khoảng thời gian từ 1,5-2,5 năm. Do vậy trước khi quyết định niềng răng có những điều bạn cần phải lưu ý.
 
1. Chọn mắc cài
Hiện nay có khá nhiều chọn lựa mắc cài cho người niềng răng và hầu hết, chúng ta luôn có thể chủ động chọn cho mình loại mắc cài phù hợp, tùy theo nhu cầu và điều kiện. Bên cạnh đó, bác sĩ cũng sẽ tư vấn cho bạn để bạn có sự chọn lựa chính xác nhất.


 
Niềng răng mắc cài kim loại
Mắc cài kim loại có ưu điểm bền, ít gãy vỡ, cho kết quả nhanh, giá thành lại kinh tế. Đây thường là chọn lựa của bậc cha mẹ dành cho con cái bởi ở độ tuổi thanh thiếu niên, chúng chưa có nhiều nhu cầu về mặt thẩm mỹ, giao tiếp. Thậm chí, đôi lúc các bạn trẻ lại còn cảm thấy rât thú vị khi dùng mắc cài kim loại kết hợp với những sợi thun nhiều màu sắc.


 
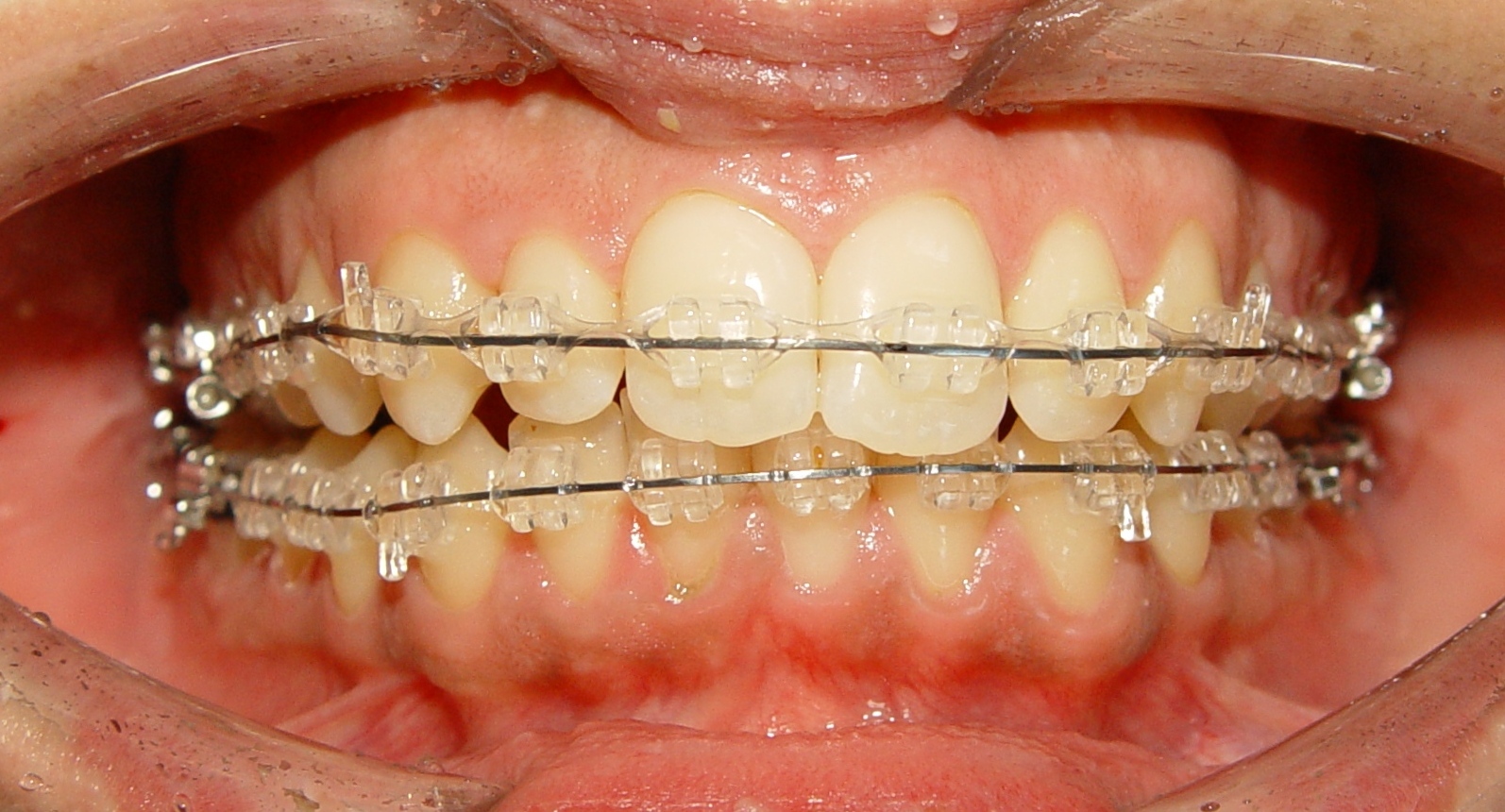
Mắc cài sứ
Theo quan sát, mắc cài sứ được người trưởng thành chọn lựa nhiều hơn do yêu cầu thẩm mỹ. Tuy nhiên, với những nụ cười với khoảng cách trên 20cm dù chọn loại niềng nào vẫn sẽ ít bị "phát hiện" là bạn đang niềng răng. 
 
Những năm gần đây, mắc cài tự khóa xuất hiện nhiều hơn với các ưu điểm như không cần mắc thun, buộc kẽm, mắc cài tự đóng lại và giữ dậy bằng clip hoặc các rãnh trượt tự khóa...Sự lựa chọn này phù hợp cho những ca răng chen chúc nhiều, bệnh nhân muốn giảm số lần hẹn đến thay thun, buộc kẽm.
 
Mắc cài tự đóng


 
Mắc cài tự buộc giúp bệnh nhân giảm được số lần hẹn thay thun và buộc kẽm

Ngoài ra còn có mắc cài mặt trong, mắc cài tự buộc, mắc cài vô hình...nhưng chỉ định điều trị của các mắc cài này còn nhiều hạn chế, chưa thể đạt kết quả tối ưu với các ca điều trị phức tạp như mất răng, sai khớp cắn, răng mọc lệch nhiều...Vì thế bác sĩ thường phải khám răng kĩ càng trước khi kết luận bạn có sử dụng chúng được hay không?
 
2. Niềng răng có giới hạn tuổi ?
Ngày nay, việc niềng răng không còn là "độc quyền" của trẻ em và những người trẻ tuổi nữa. Bạn có thể niềng răng bất cứ độ tuổi nào, chỉ cần bạn tuân thủ đúng phác đồ điều trị và các hướng dẫn chăm sóc, chắc chắn bạn sẽ có được hàm răng khỏe đẹp toàn diện, đúng như ước mơ thuở nhỏ của mình.

Ca sĩ Hồng Nhung niềng răng khi đã bước vào độ tuổi 35
 
3. Mất răng có ảnh hưởng đến việc niềng răng ?
Điều này còn tùy thuộc vào vị trí mất răng của bạn. Trong vài trường hợp, mất răng có thể dẫn đến việc tăng thời gian chỉnh nha (nhưng không đáng kể) hoặc bạn phải nhổ thêm răng để cân chỉnh số lượng răng cần làm thẳng. Tuy nhiên, những trường hợp này không nhiều. 
 
4. Niềng răng có đau không ?
Có lẽ chúng ta sẽ có câu trả lời chính xác nhất khi đặt câu hỏi nàyvới người đang niềng răng. Theo bệnh nhân Khánh Hạ, 29 tuổi đang điều trị chỉnh nha tại Elite Dental "Niềng răng cho cảm giác hơi ê và khó chịu trong 2-3 tháng đầu tiên, chủ yếu là do có khí cụ lạ trong miệng. Tuy nhiên cảm giác này sẽ giảm dần và quen dần theo thời gian, cho đến lúc bạn chứng kiến được sự thay đổi tích cực của răng như răng đều đẹp hơn, ăn nhai tốt hơn...Lúc này, mọi thứ khác đều không còn là trở ngại".
 
5. Việc thăm khám răng định kì với bác sĩ
Đối với người đang niềng răng, thăm khác răng định kì với bác sĩ là một yêu cầu bắt buộc. Bởi trong những lần hẹn này, bác sĩ sẽ giúp bạn điều chỉnh lại lực kéo của mắc cài, theo dõi quá trình di chuyển của răng, kịp thời phát hiện ra những vấn đề răng miệng bất thường (nếu có). Thường các buổi hẹn này không kéo dài quá 1 giờ, trung bình từ 1-2 tháng/lần.
 
6. Ăn uống trong khi niềng răng
Bạn nên cắt giảm đồ ngọt, các loại thực phẩm có đường và tinh bột vì chúng dễ sinh ra axít gây sâu răng cũng như phát triển các bệnh về lợi. Ngoài ra, hãy hạn chế ăn các loại thực phẩm quá cứng, dai vì chúng cũng có thể làm đứt dây cung niềng răng hoặc ảnh hưởng đến lực kéo của dây niềng.

 

7. Vệ sinh và chăm sóc răng niềng
Khi niềng răng, dĩ nhiên việc vệ sinh răng miệng cần được quan tâm kĩ hơn, vì thức ăn rất dễ bám vào mắc cài, dây cung, lâu ngày hình thành mảng bám, cao răng gây hôi miệng, sâu răng cũng như các bệnh về nướu. Do đó, hãy tuân thủ lịch chải răng ít nhất 2 lần/ngày với bản chải thường kết hợp bàn chải kẽ, dùng chỉ nha khoa thay cho tăm xỉa, đồng thời dùng nước súc miệng thường xuyên.
 
8. Tuân thủ các lời dặn của bác sĩ
Trong quá trình niềng răng, có những giai đoạn, bác sĩ sẽ cần sự hỗ trợ của bạn như đeo thun tại nhà hoặc đeo các khí cụ mặt ngoài...nhằm tăng lực kéo của dây cung. Bạn nên nghiêm túc thực hiện để ca điều trị của mình nhanh có kết quả. 
Ngoài ra, những thói quen xấu có hại như cắn bút, mút ngón tay, mút môi, lấy lưỡi đẩy răng...bạn cũng nên loại bỏ vì chúng sẽ làm ảnh hưởng đến quá trình di chuyển của răng.

 

 

 

Hỗ trợ khách hàng

Đăng ký khám

Chưa nhập họ & tên.
Chưa nhập địa chỉ.
Chưa nhập giờ khám.
Chưa nhập nội dung.

Hình ảnh nha khoa

Liên kết đối tác