Răng chen chúc (crowding) là tình trạng thường gặp nhất, chiếm tỉ lệ cao nhất trong rối loạn khớp cắn. Điều may mắn là ngày nay, điều trị răng chen chúc ít khi phải nhổ răng, thời gian điều trị rút ngắn chỉ khoảng 12-18 tháng mà kết quả thì cải thiện đáng kể.
I/ Vì sao răng mọc chen chúc?
Tình trạng răng mọc chen chúc gia tăng rất cao trong thời đại ngày nay. Có rất nhiều nguyên nhân dẫn đến tình trạng răng mọc chen chúc, nhưng tóm lại đều là do xương hàm không đủ chỗ để các răng sắp xếp ngay ngắn trên cung hàm.

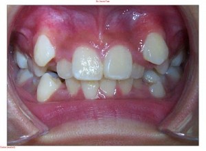
Hình: Răng mọc chen chúc ở mức độ trung bình và nặng.
Quyết định điều trị có nhổ răng hay không sẽ phụ thuộc vào khuôn mặt của bệnh nhân, không phải trường hợp nào răng chen chúc cũng cần phải nhổ răng. Đây là một quyết định rất quan trọng.

II/ Mục tiêu và kế hoạch điều trị tình trạng răng mọc chen chúc:
Tùy vào nguyên nhân và từng trường hợp cụ thể mà kế hoạch điều trị sẽ đưa ra một cách hợp lý. Điều quan trọng là kế hoạch điều trị phải giải quyết đúng nguyên nhân, vấn đề gây ra tình trạng răng chen chúc để trả lại sự cân bằng và hài hòa của khuôn mặt.
Bạn sẽ có một nụ cười không đẹp, không hài hòa với khuôn mặt nếu kế hoạch không hợp lý, đặc biệt là quyết định nhổ răng để chỉnh nha.


Hình: ca chỉnh nha răng chen chúc sau khi điều trị: có sự thay đổi rất rõ về khuôn mặt sau khi điều trị với kế hoạch nhổ 4 răng. Kế hoạch nhổ răng không hợp lý làm gương mặt của bệnh nhân gầy gò, hốc hác và “già” hơn trước khi chỉnh nha. Mặc dù răng xếp đều đặn, nhưng theo tiêu chuẩn về thẩm mỹ ngày nay, nhiều người sẽ đánh giá là không đẹp.

Hình: một ca điều trị chỉnh nha răng mọc chen chúc thành công. Ca điều trị này không nhổ răng, ngay cả khi tình trạng chen chúc ở mức độ rất nặng. Vì vậy, đánh giá có nhổ răng hay không sẽ phụ thuộc vào khuôn mặt bệnh nhân, không phụ thuộc vào tình trạng và mức độ chen chúc.
Vấn đề thường hay gặp nhất khi điều trị răng mọc chen chúc là làm cho bệnh nhân bị hô: răng xếp đều ngay sau vài tháng điều trị, nhưng lại bị hô và chìa ra trước. Bác sĩ cần phải có kế hoạch hợp lý để giải quyết được tình trạng này, vì khi đó, bệnh nhân sẽ có “một hàm răng đều, nhưng hô”.
Các tin khác