NHA KHOA TOÀN CẦU - CHĂM SÓC NỤ CƯỜI CỦA BẠN

1. Răng mọc chen chúc                                                      
      Sự bất hài hoà giữa kích thước Răng và hàm có thể dẫn đến tình trạng Răng mọc bất thường hoặc chen chúc.
       Răng mọc chen chúc nhìn không đẹp và khó vệ sinh.
       Điều trị chỉnh nha hiện nay thường dùng hệ thống mắc cài và dây cung truyền lực cần dịch chuyển lên răng gọi là phương pháp nắn chỉnh gắn chặt, phương pháp này rất hiệu quả và là cách tốt nhất để sắp xếp các Răng vào đúng vị trí của nó trên cung hàm.
 
       Đôi khi phải nhổ bớt một số Răng để có đủ khoảng trống cho việc sắp xếp các Răng chen chúc vào đúng vị trí , tạo ra sự hài hoà cho hàm Răng và khuôn mặt.



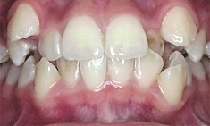
2. Khoảng hở giữa các Răng 
                                                                         
          Thường do sự bất hài hoà giữa kích thước Răng và xương hàm trên và/hoặc xương hàm dưới, hoặc do hoạt động đẩy lưỡi bất thường về phía trước, lưỡi to, thở miệng… xảy ra ở một số trẻ.
          Khoảng hở giữa các Răng cửa trông không đẹp và có thể ảnh hưởng đến phát âm.
          Điều trị chỉnh nha sử dụng mắc cài để sắp xếp Răng và đóng khoảng hở này. Hoạt động đẩy lưỡi phải được kiểm soát, thay đổi kích thước lưỡi, bệnh lý Tai Mũi Họng phải được điều trị… nếu không khe hở sau điều trị có nhiều khả năng tái phát.



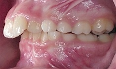
3. Răng hô
            Răng cửa trên hoặc đồng thời răng cửa hàm trên và dưới nhô ra phía môi hơn mức bình thường làm lộ nhiều răng và mất hài hòa khuôn mặt, trong một số trường hợp nặng, môi dưới có thể nằm phía sau Răng cửa hàm trên và đẩy Răng về phía trước thêm nữa làm cho tình trạng hô răng càng trầm trọng hơn.
       Răng hô trông không đẹp và có thể bị tổn thương do vô tình va chạm vào vật cứng. Đôi khi răng hàm dưới có thể trồi lên quá mức đến nỗi có thể đụng vào nướu mặt trong các Răng hàm trên và gây tổn thương các Răng này.
       Điều trị chỉnh nha sẽ sắp ngay ngắn các Răng và có thể phối hợp kéo liên hàm bằng cách dùng mắc cài và thun kéo. Ơû trẻ đang phát triển, có thể dùng khí cụ ngoài mặt kết hợp với thun kéo hoặc khí cụ chức năng.
       Trong những trường hợp hô nghiêm trọng, đặc biệt khi xương hàm đã phát triển hoàn chỉnh có thể phải dùng đến phẫu thuật để điều chỉnh sự bất hài hoà này.



4. Cắn ngược (underbite)
 
      Khi hàm dưới đưa ra trước so với hàm trên, các Răng cửa dưới đưa ra trước bên dưới các Răng hàm trên.
       Khớp cắn ngược trông không đẹp và có thể gây ra tình trạng mòn Răng không đều ở các Răng trước, chết tủy răng, mặt hình lưỡi cày, viêm nha chu các răng cửa ngoài ra nó có thể gây ra nhiều vấn đề cho khớp thái dương hàm.
       Trong trường hợp nhẹ, các khí cụ chỉnh nha thông thường như mắc cài, thun kéo liên hàm hoặc khí cụ ngoài mặt headgear có thể được dùng để sửa chữa sai lệch này.
       Trong trường hợp cắn ngược nghiêm trọng, cần phải tiến hành phẫu thuật để sửa chữa sai lệch khớp cắn này và tạo lại vẻ hài hoà cho khuôn mặt.



 

Hỗ trợ khách hàng

Đăng ký khám

Chưa nhập họ & tên.
Chưa nhập địa chỉ.
Chưa nhập giờ khám.
Chưa nhập nội dung.

Hình ảnh nha khoa

Liên kết đối tác