.jpg)
.jpg)

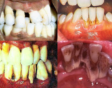
Những dấu hiệu cần lưu ý:
- Chảy máu nướu khi chải răng; Nướu đỏ, sưng, tách ra khỏi răng; Hơi thở hôi dai dẳng; Có ổ mủ hoặc có mủ chảy ra ở giữa răng và nướu ở vùng cổ răng; Răng lung lay hoặc thưa ra, đặc biệt khi nhai. Khi gặp những dấu hiệu trên nên đến gặp nha sĩ. Tuy nhiên, thông thường bệnh nha chu xảy ra không rõ ràng, bởi phần lớn thời gian diễn tiến bệnh không kèm theo triệu chứng đau đặc hiệu, vì vậy việc khám răng miệng định kỳ, trong đó khám toàn diện mô nha chu, là rất cần thiết.
Nếu bạn bị viêm nha chu, thông thường có 4 loại điều trị căn bản thường được áp dụng: khẩn cấp, không phẫu thuật, phẫu thuật và duy trì. Điều trị không phẫu thuật có tỷ lệ áp dụng cao nhất, là bước điều trị đầu tiên trong bệnh nha chu, gồm 2 bước. Ở bước sơ khởi, nha sĩ sẽ đánh giá các yếu tố thuận lợi cho sự lưu giữ mảng bám, cản trở vệ sinh răng miệng và kiểm soát mảng bám vi khuẩn và loại bỏ các yếu tố đó bằng cách:
- Chỉnh sửa hoặc thay thế tất cả những miếng trám không đúng kỹ thuật.
- Chỉnh sửa hoặc thay thế những phục hình không đúng kỹ thuật.
- Đánh giá và chỉ định răng cần nhổ (không thể giữ được).
- Cố định răng (nếu răng lung lay).
- Thực hiện phục hình tạm thời (nếu cần thiết).
- Cạo cao răng - xử lý mặt gốc răng. Lấy cao răng là một thủ thuật không nhất thiết do bác sĩ thực hiện, được chỉ định cho tất cả mọi kế hoạch điều trị nha chu. Với những trường hợp viêm nướu, nó sẽ cho kết quả rất khả quan.
Khi tự điều trị bằng kháng sinh và thấy hết đau chưa hẳn đã khỏi bệnh. Bệnh vẫn tồn tại và trở thành mạn tính, thỉnh thoảng sẽ bộc phát cơn cấp tính (tái diễn theo chu kỳ và ngày càng trầm trọng). Nếu bạn chỉ mới bị viêm nướu, tình trạng đó sẽ khiến bạn chuyển nhanh sang giai đoạn bệnh viêm nha chu. Nếu đã bị viêm nha chu thì bệnh sẽ ngày càng trầm trọng, làm răng lung lay nhiều hơn, cuối cùng là mất răng.
Để phòng bệnh nha chu, theo Bác sĩ Võ Văn Nhân: điều quan trọng nhất là đánh răng đều đặn sau các bữa ăn và trước khi đi ngủ để loại bỏ mảng bám vi khuẩn trên bề mặt răng và khe nướu, đảm bảo được sức khỏe răng miệng. Định kỳ 3-6 tháng nên đến khám răng định kỳ tại các phòng khám chuyên khoa răng hàm mặt và lấy sạch vôi răng, mảng bám ở những nơi bàn chải không làm sạch được. Việc cạo vôi răng sẽ giúp: phòng ngừa được bệnh nha chu; có hàm răng sạch, bóng và đẹp; tự tin hơn trong giao tiếp hằng ngày.
|
|
|
|
|
|
|