Bệnh nha chu là một bệnh khá phổ biến trong cộng đồng người Việt Nam. Theo điều tra dịch tể học của Viện Răng hàm mặt Hà Nội, 60% dân số ở độ tuổi 35-45 bị bệnh Nha chu. Đây là một bệnh của tổ chức nâng đỡ và giữ răng trong xương hàm, bao gồm nướu – dây chằng nha chu và xương ổ răng.
Triệu chứng bệnh ít đau, mờ nhạt nên bệnh nhân thường không chú ý; khác với sâu răng triệu chứng thường đau nhiều nên người bệnh bắt buộc phải tìm đến nha sĩ. Do đó, bệnh nha chu lại thường hay gặp ở những người có răng tốt vì họ ít khi đến nha khoa, cho đến khi bệnh nha chu đã quá trầm trọng làm răng lung lay.
Bệnh nha chu là một bệnh nhiễm trùng gây ra bởi những vi khuẩn lưu trú trong mảng bám và cao răng. Trong nước bọt có chất Calci, chất vôi này kết hợp với mảng bám răng tạo thành vôi răng hay còn gọi là cao răng. Vôi răng không thể đánh sạch được với bàn chải và kem đánh răng. Bạn cần định kỳ đến một nha khoa để lấy đi phần cao răng đó nhằm loại bỏ ổ vi khuẩn lưu trú gây nên bệnh nha chu.
Triệu chứng bệnh
Ở giai đoạn sớm, nướu bị viêm đỏ, dễ chảy máu khi đánh răng hay khi người bệnh nút mạnh. Giai đoạn này gọi là “viêm nướu”, bạn chỉ cần đến phòng khám nha khoa lấy vôi răng là nướu sẽ phục hồi hồng hào lại như cũ và hết chảy máu nướu.
Nếu không điều trị sớm ở giai đoạn “viêm nướu”, nướu sẽ bị tuột làm răng trong có vẻ dài hơn và sau cùng xương ổ răng cũng mất đi làm răng lung lay. Giai đoạn này được gọi là “Nha chu viêm”. Điều trị Nha chu viêm rất phức tạp, tốn kém thời gian và kết quả không bao giờ hoàn hảo.

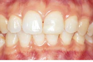
Hình nướu bình thường

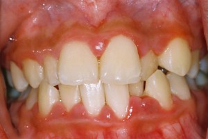
Hình nướu bị viêm
Tuy nhiên, bệnh nha chu không chỉ gây mất răng, hậu quả của nhiễm trùng nha chu còn nghiêm trọng hơn rất nhiều.
1. Nhiễm trùng Nha chu và bệnh tiểu đường:
Trước đây người ta thường cho rằng chính bệnh tiểu đường gây ra bệnh nha chu. Ngày nay có nhiều nghiên cứu chỉ ra rằng nhiễm trùng nha chu là một nhân tốt quan trọng gây ra bệnh tiểu đường.
Ngoại trừ tế bào não, trên bề mặt các tế bào đều có những thụ thể insulin. Những thụ thể insulin điều tiết lượng đường glucose hấp thu vào tế bào dưới tác động của nội tiết tố insulin tiết ra từ tụy tạng.
Nhiễm trùng nha chu theo đường tuần hoàn máu đến các tế bào và gây bất hoạt những thụ thể insulin gây nên hiện tượng “kháng insulin”. Đối phó lại tuyến tụy phải tăng tiết insulin để ép tế bào hấp thu glucose nhằm giữ đường lượng trong máu là một hằng số. Khi phải cố gắng tăng tiết insulin thời gian dài tuyến tụy sẽ suy nhược dẫn đến bệnh tiểu đường.
2. Nhiễm trùng Nha chu và bệnh tim mạch:
Nhiễm trùng nha chu tác động vào hệ tim mạch theo 2 cách: trực tiếp và gián tiếp.
Trực tiếp: vi khuẩn trong túi nha chu xâm nhập đường tuần hoàn máu trực tiếp tác động lên tim và mạch máu.
Gián tiếp: vi khuẩn nha chu và độc tố của chúng tác động lên gan làm sản sinh ra những chất có hại cho hệ thống tim mạch như CRP (C-reactive Protein), fibrinogen, LDL (low density lipoprotein).
Hậu quả là:
Thành mạch máu có những sang thương dẫn đến mảng xơ vữa động mạch.
Đường kính mạch máu bị thu nhỏ do phản ứng viêm.
Máu dễ bị vón cục do tác động của CRP, fibrinogen, LDL.
Nhiễm trùng nội tâm mạc.
Như vậy nhiễm trùng Nha chu là một trong những tác nhân gây suy yếu hệ tim mạch; chúng làm máu bị cô đặc, thành mạch bị thu nhỏ -> tắc mạch -> tai biến mạch máu và đột quỵ. Khi nhiễm trùng nội tâm mạc xảy ra, tim bị suy (bệnh thấp tim). Nhiều kết quả nghiên cứu cho thấy có sự liên hệ giữa nhiễm trùng Nha chu và bệnh Thấp tim như nghiên cứu của ARBE tại viện điều tra dịch tể học NHANE Hoa Kỳ. Nhiễm trùng Nha chu nặng giữ vai trò quyết định như một “cú đánh bồi thêm” gây đột quỵ trong bệnh tim mạch.
3. Nhiễm trùng Nha chu và sinh non, sinh thiếu cân:
Y học định nghĩa sinh non khi thai kỳ dưới 37 tuần tuổi và sinh thiếu cân khi thai nhi nặng không đến 2.500g. Tỷ lệ sinh non và sinh thiếu cân tại Hoa Kỳ từ 6% – 9%, gây tử vong 70% cho trẻ sơ sinh.
Bệnh căn được cho là hút thuốc, nghiện rượu, hóa chất độc hại, vệ sinh kém, tiểu đường. Gần đây những phát hiện tình trạng cơ thể bị nhiễm trùng mãn tính (như khi bị bệnh Nha chu) đóng góp vai trò không nhỏ gây sinh non và sinh thiếu cân.
Nhiễm trùng mãn tính khi đang mang thai làm tăng tiết prostaglandin, gây nên sự giãn nở và co thắt của tử cung dẫn đến sinh non.
Thống kê cho thấy tỷ lệ sinh non ở phụ nữ mang thai không điều trị bệnh Nha chu là 10,1% so với nhóm chứng được điều trị bệnh Nha chu chỉ còn 1,8%.
Ngoài những tác hại đã được kiểm chứng kể trên, ngày nay người ta còn thấy nhiễm trùng Nha chu có liên quan đến những bệnh lý khác như viêm phổi bệnh viện, đột quỵ…
Điều trị bệnh Nha chu giai đoạn đầu (viêm nướu) rất đơn giản và hiệu quả. Bạn chỉ cần đến Nha khoa 1-2 lần hẹn để lấy vôi răng và đánh bóng mặt răng (đánh bóng mặt răng làm vôi răng lâu bám trở lại), bệnh sẽ khỏi sau 1 tuần. Tuy nhiên nếu để bệnh tiến triển lâu hơn thành Nha chu viêm, việc điều trị sẽ rất khó khăn.
Để phòng ngừa bệnh Nha chu, bạn cần chải răng ngay sau khi ăn và ghé Nha sĩ của bạn để lấy vôi răng ít nhất mỗi năm một lần.