NHA KHOA TOÀN CẦU - CHĂM SÓC NỤ CƯỜI CỦA BẠN

Để tìm lại hàm răng trắng bóng cùng nụ cười tươi sáng, bạn nên vệ sinh răng miệng kỹ lưỡng và đặc biệt có thể dùng phương pháp tẩy trắng răng hoặc bọc răng sứ.

Nhiều người có hàm răng xỉn màu ngay từ khi còn do nhiễm tetracyclin từ khi còn bé, hút thuốc lá thường xuyên hoặc chăm sóc răng miệng không cẩn thận. Để tìm lại hàm răng trắng bóng cùng nụ cười tươi sáng, bạn nên vệ sinh răng miệng kỹ lưỡng và đặc biệt có thể dùng phương pháp tẩy trắng răng hoặc bọc răng sứ.

1. Nguyên nhân khiến răng bị xỉn màu

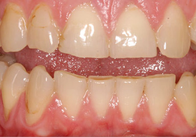
- Nhiễm tetracyclin: Nếu bạn uống tetracyclin trong thời kỳ đang hình thành xương và răng, tetracyclin sẽ tạo các phức hợp với canxi thành các tinh thể màu tetracyclin lắng đọng trong xương, răng và không thể loại ra được. Đặc biệt, nếu bạn dùng thuốc toàn bộ thân răng sẽ bị đổi màu. Răng có thể chuyền thành màu vàng, nâu, xám…



Nhiễm tetracyclin khiến răng bị ố vàng

- Do thói quen chăm sóc răng miệng: Nhiều người không chú ý đến việc chăm sóc răng miệng hàng ngày như đánh răng ít hơn 2 lần/ngày, không lấy cao răng thường xuyên, đánh răng sai cách. Do đó, các mảng bám răng tích tụ ngày một nhiều, răng có thể bị viêm lợi, sâu răng và khiến răng bị ố vàng.

- Hút thuốc lá nhiều: Thuốc lá không chỉ ảnh hưởng xấu đến sức khỏe mà còn khiến hàm răng bị ố vàng. Theo thời gian, thuốc lá tạo những vết màu đen trên bề mặt răng và rất khó làm sạch. Những chất màu trong thuốc lá thấm vào răng và gây nên những hủy hoại nghiêm trọng. Chính vì thế, những người nghiện thuốc nặng đều có hàm răng xỉn màu, trông kém thẩm mỹ khi giao tiếp.

2. Cách khắc phục

Để khắc phục tình trạng răng bị xỉn màu, trước hết, bạn nên chăm sóc răng cẩn thận như đánh răng ít nhất 2 lần/ngày, thường xuyên lấy cao răng cũng như định kỳ thăm khám răng thường xuyên.

Cách phổ biến hiện nay nhiều người thường áp dụng để khắc phục hàm răng bị xỉn màu, ố vàng đó là tẩy trắng răng và bọc răng sứ thẩm mỹ.

- Tẩy trắng răng:  Bạn có thể đến các phòng khám hoặc bệnh viện để được các nha sĩ thực hiện việc tẩy răng an toàn với tỷ lệ chất tẩy trắng đúng quy định, thuốc đúng chất lượng. Tuy nhiên, những người có cổ chân răng bị mòn, thiểu sản men răng, răng sâu quá nhiều, phụ nữ có thai, người mắc bệnh đái tháo đường, dưới 18 tuổi không nên tẩy trắng răng.

Hiện nhiều trung tâm nha khoa có dịch vụ tẩy trắng răng bằng đèn Plasma giúp tẩy trắng hiệu quả, nhanh chóng từ 30 – 90 phút. Phương pháp này an toàn, không làm răng ê buốt, bảo vệ nướu và men răng.



Răng sứ thẩm mỹ được nhiều người lựa chọn vì tính thẩm mỹ, độ bền cao

- Bọc răng sứ thẩm mỹ: Phương pháp này hiệu quả và có độ bền cao, khoảng 5-10 năm. Để bọc chụp được răng,  nha sĩ sẽ  mài một phần răng thật (mài cùi) để tạo đủ chỗ cho lớp bọc chụp sứ (mão răng) sau này bao bọc lên trên răng.

Phần  chụp  răng (mão răng) được gắn chặt vào phần thân răng đã được mài sau khi thử và điều chỉnh khớp cắn. Lớp sứ phủ bên ngoài và sườn bên trong bằng hợp kim như: Hợp kim Ni-Cr, hợp kim titan, hợp kim vàng Au-Pt, hoặc toàn sứ Zirconia...

 

Hỗ trợ khách hàng

Đăng ký khám

Chưa nhập họ & tên.
Chưa nhập địa chỉ.
Chưa nhập giờ khám.
Chưa nhập nội dung.

Hình ảnh nha khoa

Liên kết đối tác