Bọc răng sứ tốt nhất tp Hồ Chí Minh – Bạn thắc mắc răng chết tủy có bọc răng sứ thẩm mỹ được không? Bọc răng sứ thẩm mỹ có thể gặp tai biến gì không? Bác sĩ nha khoa bọc răng sứ giỏi?

Bọc răng sứ thẩm mỹ cho bạn nụ cười xinh
* Răng chết tủy có bọc răng sứ được không ?
Khi răng bị chết tuỷ, vì không còn được máu nuôi dưỡng trực tiếp, răng trở nên rất giòn, dễ vỡ và tuổi thọ thấp. Vì vậy, để tăng độ bền của răng, chúng ta phải bảo vệ nó bằng một lớp răng sứ ở bên ngoài – tức là bọc sứ. Mài nhỏ răng bị chết tủy đi để bọc sứ lại là một phương pháp thực hiện đúng đắn và tiết kiệm chi phí.
Bọc răng sứ khi răng bị chết tủy
* Bọc răng sứ có thể gặp tai biến gì không ?
Bọc răng sứ :
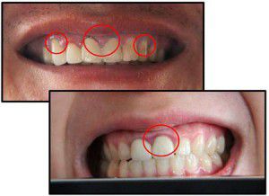
Bọc răng sứ thẩm mỹ có thể bị một số tai biến: tủy răng không được xử lý tốt trước khi làm răng sứ. Thay vì bệnh nhân cần được lấy tủy nhưng bác sĩ không lấy, cứ thế chụp răng sứ lên, khiến bệnh nhân bị ê buốt, có khi làm rò mủ ở vùng xương hàm.
Có bệnh nhân làm răng sứ xong khi nhai bị vướng, cộm, đau khớp ở thái dương hàm do người làm điều chỉnh khớp cắn không tốt. Có người bị nha chu nhưng người làm vẫn phục hình răng sứ trên đó, khiến bệnh nha chu tiếp tục phát triển dẫn đến hai trụ cầu răng bị lung lay. Về lâu dài, bệnh nhân có thể mất thêm hai chiếc răng thật hai bên.
Không ít trường hợp bị tình trạng mão sứ không khít sát với cùi răng đã mài để ôm vừa đúng đường viền nướu, hoặc dưới đường viền nướu nên không đạt yêu cầu thẩm mỹ, dễ bị sâu răng tái phát, hoặc gây hôi miệng do thức ăn bám đọng vào những khe giữa đường cổ răng của mão sứ với đường cổ răng thật của bệnh nhân.
Vì vậy để tránh những tai biến nêu trên các bạn nên tìm đến trung tâm nha khoa bọc răng thẩm mỹ tốt nhất, uy tín nhất vì ở đó có đội ngũ bác sĩ nha khoa nhiều kinh nghiệm và trang thiết bị hiện đại để giúp các bạn làm răng sứ an toàn hơn.
Bọc răng sứ tốt nhất bằng trang thiết bị hiện đại
* Bác sĩ nha khoa bọc răng sứ giỏi ?
Làm một chiếc răng sứ thẩm mỹ không phải chuyện dễ, nó đòi hỏi tay nghề và y đức của bác sĩ răng hàm mặt là phải mài cùi răng cho đúng chỉ định, đúng chuẩn để đạt tính thẩm mỹ, độ dày cần thiết của lớp sứ sau này. Bác sĩ cũng là người quyết định chiếc răng bị mài có cần phải chữa tủy hay không. Đối với kỹ thuật viên, đòi hỏi tay nghề phải cao mới đắp sứ được khéo léo, đẹp theo yêu cầu bệnh nhân – nhất là phải đúng màu sắc với những chiếc răng thật còn lại. Vậy bạn nên chọn trung tâm nào tốt và uy tín tại TP. Hồ Chí Minh để bọc răng sứ ?
Trung Tâm Nha khoa Phan Đăng Lưu chúng tôi là trung tâm nha khoa hàng đầu tại TP. Hồ Chí Minh và hội tụ nhiều điều kiện thuận lợi để chăm sóc răng miệng cho bệnh nhân được tốt nhất
- Đội ngũ y bác sỹ có tay nghề cao về bọc răng sứ thẩm mỹ được đào tạo nhiều năm tại nước ngoài
- Luôn cập nhật các phương pháp điều trị răng mới nhất.
- Hệ thống máy móc và trang thiết bị hiện đại, nhập trực tiếp của Châu Âu, đạt tiêu chuẩn quốc tế về an toàn, kỹ thuật.
- Chi phí hợp lý.
- Nằm tại vị trí trung tâm thuận tiện cho khách hàng đến khám.
- Có gar xe hơi.
- Không gian phòng khám rộng rãi, thoáng mát, sạch sẽ.
- Phong cách phục vụ chuyên nghiệp, thân thiện và nhiệt tình.
Bạn có thể tham khảo chi phí bọc răng sứ tại : Chi phí bọc răng sứ .