NHA KHOA TOÀN CẦU - CHĂM SÓC NỤ CƯỜI CỦA BẠN

Chỉnh Nha là gì?
Chỉnh nha là một nhánh của ngành nha khoa giúp điều chỉnh vị trí của hàm và những răng sai lệch. Những răng bị lệch lạc và những răng không vừa khít với nhau thì khó để vệ sinh sạch hơn và có nguy cơ bị mất sớm bởi sâu răng và bệnh nướu và việc tạo thêm áp lực cho những cơ nhai có thể dẫn đến chứng đau đầu, hội chứng TMJ và đau cổ, vai và lưng. Răng bị lệch lạc và không ở đúng vị trí còn có thể làm giảm vẻ đẹp bề ngoài của người đó.

Lợi ích của điều trị chỉnh nha bao gồm giúp răng miệng khỏe mạnh hơn, vẻ bên ngoài đẹp hơn và răng thì gần như có thể tồn tại suốt đời.
Làm Sao Để Biết Tôi Cần Phải Chỉnh Nha?

Chỉ có nha sĩ chỉnh nha mới biết liệu bạn có được lợi ích gì từ việc chỉnh nha hay không. Dựa trên những công cụ phân tích bao gồm lịch sử điều trị bệnh và sức khỏe răng miệng đầy đủ của bạn, một buổi kiểm tra tại phòng nha, mẫu đắp những răng của bạn, chụp X quang và những hình ảnh đặc biệt, nha sĩ chỉnh nha có thể quyết định liệu thuật chỉnh nha có thực hiện được hay không và sau đó phát triển một kế hoạch điều trị phù hợp với bạn.

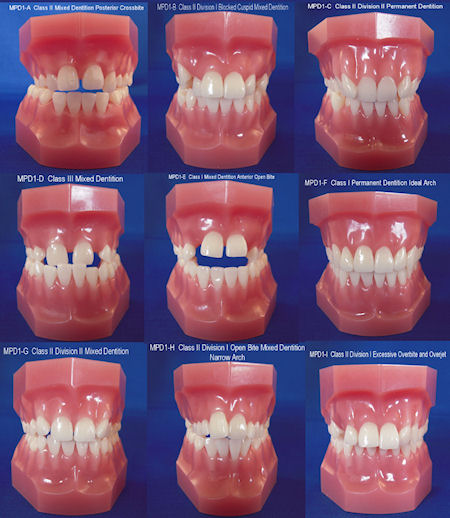
Nếu bạn có bất cứ những hiện tượng sau thì bạn có thể cần phải điều trị chỉnh nha:




    Cắn chìa: là trường hợp mà răng cửa hàm trên đưa ra (chìa ra phía trước) so với răng hàm dưới.
    Cắn ngược: răng hàm dưới đưa xa ra ngoài so với hàm trên hoặc răng hàm trên đưa sâu vào trong.
    Cắn chéo: khi cắn 2 hàm lại với nhau thì hàm trên cắn vào bên trong của hàm dưới.
    Cắn hở: khi các răng cửa trên không chạm các răng cửa dưới khi cắn 2 hàm lại, mà có một khoảng cách giữa bề mặt nhai của những răng cửa và/hoặc những răng ở bên.
    Đường trung bình không đúng chỗ: khi điểm chính giữa của các răng cửa hàm trên không thẳng hàng với điểm chính giữa của các răng cửa hàm dưới.
    Khoảng trống – có khoản trống giữa các răng do mất răng hoặc răng không đầy đủ trên cung hàm.
    Răng chen chúc: là khi có quá nhiều răng mọc trên cung hàm.

Chỉnh Nha Hoạt Động Như Thế Nào?
Có rất nhiều loại khí cụ chỉnh nha, có cả loại cố định và loại tháo lắp, được dùng để giúp chỉnh vị trí của răng, nướu và tác động đến sự phát triển của hàm. Các khí cụ này tác động bằng cách đặt áp lực lên răng và hàm. Tùy vào trường hợp cụ thể mà loại khí cụ đươc lựa chọn để tạo ra hiệu quả tốt nhất.

Các khí cụ chỉnh nha cố định bao gồm:

Mắc cài – khí cụ chỉnh nha phổ biến nhất, mắc cài bao gồm các nẹp, dây cung và/hoặc bracket. Các nẹp thường được gắn xung quanh một hoặc nhiều răng và đóng vai trò như điểm neo cho các khí cụ, trong khi bracket thì thường dán vào mặt trước của răng. Các dây cung hình cầu đi xuyên qua các bracket và gắn vào các nẹp. Xiết chặt dây cung sẽ tăng lực đặt lên răng, từ từ dịch chuyển chúng đến vị trí đúng. Các mắc cài thường được điều chỉnh hàng tháng để mang lại kết quả như mong muốn, kết quả này có thể đạt được trong vài tháng cho đến vài năm. Các mắc cài ngày nay nhỏ hơn, nhẹ hơn và ít lộ kim loại hơn ngày xưa.





Chúng có màu rực rỡ cho trẻ em và kiểu dáng thoáng hơn được nhiều người lớn ưa thích.
 

    Các khí cụ chỉnh nha đặc biệt – được sử dụng để kiểm soát tật bú ngón tay hay tật đẩy lưỡi, các ứng dụng này được gắn vào răng bằng các nẹp. Vì chúng rất bất tiện khi ăn uống, chúng thường chỉ được dùng như phương cách cuối cùng.
    Khí cụ giữ chỗ - nếu răng trẻ bị mất sớm, một bộ giữ chỗ được dùng để giữ khoảng cách giữa các răng cho đến khi răng vĩnh viễn mọc lên. Một nẹp được gắn vào răng kế bên khoảng trống và một dây cung được nối đến răng đối diện trong khoảng trống đó.

Các khí cụ chỉnh tháo lắp được bao gồm:

  • Khay – một sự thay thế mắc cài truyền thống cho người lớn, khay theo số đang được sử dụng bởi ngày càng nhiều bác sĩ chỉnh nha để điều chỉnh các răng theo đúng cách mà các khí cụ cố định làm, chỉ không có dây cung kim loại và các bracket. Các khay này thực sự trong suốt và được gỡ ra khi ăn, chải răng và dùng chỉ nha khoa.
  • Bộ giữ chỗ tháo rời được – các thiết bị này mang lại đúng hiệu quả như bộ giữ chỗ cố định. Chúng được làm với một nền acrylic gắn vừa khít phía trên xương hàm, và có nhựa hoặc những sợi dây nhánh ở giữa những răng để giữ khoảng cách giữa chúng. 


Các khí cụ định vị hàm – còn gọi là các nẹp, các khí cụ này mang vào cả hàm trên và hàm dưới, và giúp điều chỉnh hàm về lại gần vị trí mong muốn. Chúng còn được dùng cho những trường hợp bị chứng rối loại thái dương hàm (TMJ)  



Miếng chặn môi và má – chúng được thiết kế để giữ cho môi và má khỏi răng. Các cơ môi vá má có thể tạo nên áp lực lên răng, miếng chặn này giúp làm giảm các áp lức này.
  • Bộ giãn vòm miệng – thiết bị được dùng để làm rộng vùng vòm trên miệng. Đó là một tấm nhựa vừa với vòm trên. Bằng cách xiết chặt các mối nối vào vùng xương của vòm miệng sẽ tạo ra lực tác động vào tấm nhựa giúp kéo dài và mở rộng vòm miệng.
  • Khí cụ duy trì tháo rời được – được mang vào vòm dưới miệng, khí cụ này giúp tránh cho răng không nâng lên phía trước. Chúng còn được thay đổi và sử dụng để tránh việc mút ngón tay.
  • Vòm nắn – với khí cụ này, một miếng băng được đặt phía sau đầu và gắn với một sợi kim loại phía trước hoặc dưới cằm. Vòm nắn làm chậm sự phát triển của hàm dưới và giữ các răng phía sau trong khi các răng phía trước được kéo về phía sau.


 

Hỗ trợ khách hàng

Đăng ký khám

Chưa nhập họ & tên.
Chưa nhập địa chỉ.
Chưa nhập giờ khám.
Chưa nhập nội dung.

Hình ảnh nha khoa

Liên kết đối tác