NHA KHOA TOÀN CẦU - CHĂM SÓC NỤ CƯỜI CỦA BẠN

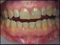
Không phải bất kì ai sinh ra cũng có hàm răng đẹp như mong muốn. Theo Bác sĩ Võ Văn Nhân: có người răng không đều, răng quá to, hoặc răng bị nhiễm màu. Bình thường màu răng do yếu tố di truyền quyết định, màu răng thường không đều ở tất cả các răng, răng nanh có màu đậm hơn các răng khác.

Nguyên nhân làm răng sậm màu

Có rất nhiều nguyên nhân làm cho răng bị sậm màu:

Do các vết dính bám trên bề mặt răng

Trường hợp này xảy ra khi các răng đã mọc. Các vết dính sậm màu có thể do thức ăn, nước uống, thuốc lá hay các loại thuốc ngậm, thuốc súc miệng gây ra. Ví dụ như trà, cà phê, thuốc lá, nước ngọt, cà ri, màu thực phẩm, trầu, thuốc súc miệng chlorhexidine (thường được bác sĩ nha khoa kê toa trong điều trị bệnh nha chu hay hôi miệng).
 
Các vết dính này thường bám vào những trũng, rãnh trên bề mặt răng. Cũng có khi chúng bám lên cả bề nhẵn của mặt răng và bao phủ toàn bộ răng.
 
Những vết dính này có thể có nhiều màu khác nhau như vàng đậm, nâu nhạt đến nâu đậm, hay thậm chí có màu đen.

Do nhiễm Tetracycline

Nếu người mẹ uống các thuốc có chứa nhóm tetracycline khi đang mang thai hoặc trẻ uống các thuốc này trước 7-8 tuổi thì có thể làm răng đổi màu. Mức độ sậm màu răng tùy thuộc vào thời điểm, thời gian dùng thuốc, liều lượng và loại thuốc. Màu răng có thể trở nên vàng, nâu hay xám xanh.

Tetracycline là một loại kháng sinh. Ngày nay còn có Doxycycline, Minocycline… là các thuốc kháng sinh cùng nhóm với Tetracycline.

Sự thay đổi màu này có thể xảy ra trên toàn bộ răng hay chỉ ở một vùng nào đó, làm răng có những dải màu khác nhau. Trong trường hợp nặng, răng còn có thể bị lỗ chỗ, khiếm khuyết, mất đi hình dạng bình thường.


Răng nhiễm fluo

Fluo là một chất hóa học có thể có trong tự nhiên (ví dụ trong nước giếng), vì có khả năng chống sâu răng nên thường được cho thêm vào nước máy, sữa, kem đánh răng…

Nếu phụ nữ mang thai hay trẻ em nuốt phải fluo quá nhiều từ các nguồn nói trên (nhất là trẻ em hay dùng kem đánh răng của người lớn), răng sẽ có những vết nâu hay trắng đục. Trường hợp nặng có thể gây khiếm khuyết cấu trúc răng.

Răng bị chết tủy

Răng có thể bị chết tủy do sâu răng, chấn thương hay một số bệnh lý khác. Răng sậm màu do có chảy máu bên trong răng.


Do tuổi tác

Càng lớn tuổi, răng càng bị mòn hoặc có nhiều vết nứt nên dễ bị nhiễm màu hơn. Ngoài ra bên trong răng có sự tạo thêm các lớp ngà thứ cấp làm cho răng có màu sậm.

 

Hỗ trợ khách hàng

Đăng ký khám

Chưa nhập họ & tên.
Chưa nhập địa chỉ.
Chưa nhập giờ khám.
Chưa nhập nội dung.

Hình ảnh nha khoa

Liên kết đối tác