Điều trị chỉnh nha luôn đòi hỏi bệnh nhân có tính kiên trì, chịu khó. Tuy vậy, kết quả đạt được so với ban đầu thường khá tốt.
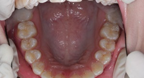
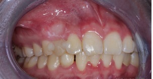
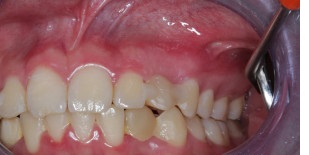
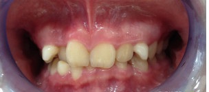
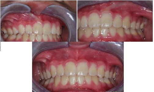
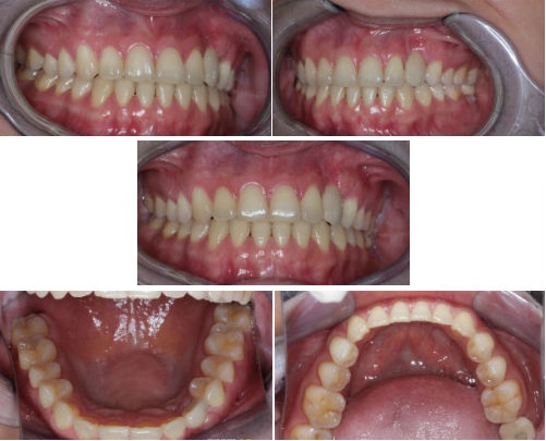
1) Bệnh nhân nữ, 28 tuổi, móm nhẹ, răng nanh khểnh và mọc kẹt:
Bệnh nhân đến với lý do muốn trồng lại chiếc răng nanh do bị mọc kẹt trên cao. Bệnh nhân dự định xuất cảnh sau 2 năm nên muốn có một kế hoạch chính xác về thời gian và đạt kết quả tốt.

Lý do ban đầu tuy là khá đơn giản, nhưng việc điều trị thì không như vậy: bác sĩ đã tư vấn bệnh nhân cần chỉnh nha để tạo khoảng trống đủ để trồng chiếc răng nanh sao cho đẹp và phù hợp với những răng bên cạnh, vì nếu gượng ép làm chiếc răng giả sẽ làm cho chiếc răng đó có kích thước nhỏ và bất cân xứng so với bình thường. Khi chỉnh nha gần xong, bác sĩ chỉnh nha sẽ chuyển bác sĩ chuyên phục hình để tái tạo lại chiếc răng đó. Kế hoạch điều trị cho bệnh nhân khá đặc biệt vì bệnh nhân ở xa, nên lịch hẹn cũng được sắp xếp phù hợp.
Tình trạng trước khi chỉnh nha: bệnh nhân có khớp cắn gần như cắn ngược, cung hàm bị lệch vì răng nanh bị mọc kẹt trên cao. Cung hàm bị lệch dẫn đến khuôn mặt cũng bị lệch, nên nếu làm răng sứ đơn thuần mà không chỉnh nha, bệnh nhân sẽ có nụ cười “méo”, và chắc chắn là không hài lòng!
Hình sau khi chỉnh nha trong 18 tháng:
Sau khi điều trị, Bác sĩ chỉnh nha đã điều chỉnh lại khớp cắn tốt, dành đủ khoảng trống để phục hình lại răng nanh. Trong trường hợp này, bác sĩ Implant và phục hình cũng đã phối hợp tốt để làm ra chiếc răng nanh rất giống với răng thật!
2) Bệnh nhân nam, 14 tuổi, đã chỉnh nha thất bại và nhổ 4 răng số 4 ở nơi khác:
Bệnh nhân đến với lý do muốn dứt điểm điều trị chỉnh nha. Bệnh nhân đã được điều trị 1 năm ở châu Âu và đã nhổ 4 răng số 4.
Tình trạng trước khi chỉnh nha: bệnh nhân đã nhổ mất 4 răng số 4. Vấn đề còn lại là đóng những khe hở lớn do đã nhổ răng và điều trị hô.
Tình trạng sau khi chỉnh nha trong 24 tháng: vấn đề hô đã được cải thiện đáng kể. Bệnh nhân có nụ cười khá thẩm mỹ. Tuy vậy, khe hở vẫn còn một chút do khuôn mặt của bệnh nhân đang phát triển. Nếu bệnh nhân được chẩn đoán kỹ lưỡng hơn, bác sĩ sẽ tính toán đến sự phát triển của trẻ, và nhiều khả năng bác sĩ sẽ không chỉ định nhổ răng và không mất quá nhiều thời gian vì phải đóng khe hở.
3) Bệnh nhân nữ, 12 tuổi, răng chen chúc, hơi hô.
Bệnh nhân được phụ huynh đưa đến gặp bác sĩ với lý do muốn chỉnh răng cho đều đặn, thẩm mỹ và một nụ cười “tốt nhất có thể”.
Hình trước khi chỉnh nha: tình trạng bệnh nhân răng chen chúc hàm dưới, hô hàm trên, cắn sâu và hàm dưới lùi. Bệnh nhân ở độ tuổi chuẩn bị dậy thì, khuôn mặt và xương hàm còn phát triển nên bác sĩ đã dựa vào sự phát triển của bệnh nhân để chỉnh nha mà không nhổ răng.
Hình sau khi chỉnh nha trong 18 tháng: bệnh nhân đã có một kết quả tốt: răng đều, thẩm mỹ và nụ cười đẹp.
4) Bệnh nhân nam, 17 tuổi, răng chen chúc, hô, cắn sâu, thiếu 4 răng nanh bẩm sinh:
Bệnh nhân tìm hiểu chỉnh nha với mong muốn chỉnh răng cho đều, đẹp, và có một “nụ cười đẹp”. Bệnh nhân gặp bác sĩ với mong muốn chỉnh nha từ chính bản thân của bệnh nhân, không phải từ phụ huynh. Điều này thể hiện sự quyết tâm cao của chính bệnh nhân và thường giúp bệnh nhân hợp tác tốt với kế hoạch điều trị của bác sĩ.
Tình trạng trước khi chỉnh nha: bệnh nhân có tình trạng răng chen chúc nhiều, cắn sâu khá nặng, sau khi chụp phim thì phát hiện không có răng nanh (răng số 3). Kế hoạch điều trị của bác sĩ bao gồm sắp xếp răng đều đặn, điều trị cắn sâu, chừa khoảng trống để phục hình lại răng nanh bị thiếu bẩm sinh của bệnh nhân. Do nụ cười của bệnh nhân hiện nay “không thấy răng”, nên một kế hoạch có phục hình răng bị thiếu bẩm sinh sẽ giúp cho bệnh nhân có nụ cười đầy đặn và tươi trẻ hơn.

Sau khi điều trị chỉnh nha trong 17 tháng: bệnh nhân đã có một kết quả khá tốt: răng sắp xếp đều và thẩm mỹ, không còn khớp cắn sâu, khoảng trống để phục hình tái tạo các răng nanh là rất tốt. Nụ cười của bệnh nhân được cải thiện rõ rệt.
5) Bệnh nhân nam, 14 tuổi, người Hàn Quốc, răng khểnh và chen chúc:
Bệnh nhân đến gặp bác sĩ với mong muốn làm đều răng khểnh và có một nụ cười đẹp. Bệnh nhân lo ngại về kế hoạch nhổ răng cối nhỏ (răng số 4).
Sau khi khám, tư vấn, chụp phim và phân tích, bác sĩ chỉnh nha đã quyết định dựa vào sự phát triển khuôn mặt và xương hàm của trẻ để sắp xếp đều răng mà không nhổ răng. Tuy nhiên, để kết quả bền vững, bác sĩ đã khuyên bệnh nhân sẽ nhổ răng khôn khi trưởng thành.
Tình trạng trước khi chỉnh nha: răng khểnh và chen chúc. Điều dễ nhận thấy qua mẫu hàm là sẽ không thể nào đủ khoảng trống để sắp xếp đều răng, vì vậy có khả năng cần nhổ răng. Tuy nhiên, bác sĩ không chỉ đánh giá qua mẫu hàm, mà còn nhiều yếu tố khác như độ tuổi, tiềm năng phát triển của khuôn mặt và xương hàm,v.v… nên đã đưa ra kế hoạch điều trị không nhổ răng để thăm dò, nếu kết quả không tốt thì mới nhổ răng.
Sau khi chỉnh nha trong 18 tháng: răng đều, đẹp, và nụ cười phù hợp với khuôn mặt bệnh nhân. Nếu nhổ răng, bác sĩ có thể gặp khó khăn trong vấn đề đóng khoảng trống, thời gian điều trị kéo dài và nụ cười không phù hợp với khuôn mặt bệnh nhân.
6) Bệnh nhân nữ, 13 tuổi, chỉnh răng hô và thưa:
Bệnh nhân nữ, 13 tuổi, được phụ huynh dẫn đến với mong muốn chỉnh răng hết thưa và không còn hô. Phụ huynh có dự định đưa bé đi du học sau 2 năm, nên mong muốn một kế hoạch điều trị đạt hiệu quả và chính xác với thời gian.
Hình trước khi chỉnh nha: răng thưa, kích thước răng to, hô khá nhiều so với khuôn mặt của bệnh nhân. Nếu chỉ đánh giá mẫu hàm và khuôn mặt của bệnh nhân tại thời điểm khám, một kế hoạch có nhổ răng là cần thiết để tạo khoảng trống kéo lùi răng để điều trị hô cho bệnh nhân. Tuy vậy, đây là một bệnh nhân trẻ em, và trẻ em sẽ có sự phát triển khuôn mặt và xương hàm đáng kể ở độ tuổi dậy thì, nên chỉ định nhổ răng có thể là không cần thiết. Vì vậy, sau khi cân nhắc nhiều yếu tố và đánh giá lợi ích – rủi ro cho bệnh nhân, bác sĩ chỉnh nha đã quyết định điều trị không nhổ răng, dựa vào sự phát triển của bệnh nhân để điều trị hô.

Sau khi chỉnh nha trong 20 tháng : So sánh với hình trước khi chỉnh nha, dễ dàng nhận thấy khuôn mặt và xương hàm của bệnh nhân đã phát triển rất nhiều. Trong khi đó, kích thước răng là không thay đổi trong cả cuộc đời con người, nên kết quả đã đạt được sự hài hòa về kích thước răng, cung răng và khuôn mặt bệnh nhân. Bác sĩ chỉnh nha đã khéo léo tác động và sắp xếp răng phù hợp với sự phát triển cung hàm, nhằm đạt được một kết quả điều trị tốt: răng đều, đẹp và nụ cười phụ hợp với khuôn mặt bệnh nhân.
Kết luận: Một kế hoạch điều trị chỉnh nha toàn diện luôn được xem xét ở nhiều yếu tố, khía cạnh và tùy thuộc vào hoàn cảnh của từng bệnh nhân để đạt được một kết quả tốt. Bác sĩ chỉnh nha không chỉ quan tâm và “khám” cho hàm răng của bạn, mà còn những vấn đề khác như thời gian, mối quan tâm và động lực để chỉnh nha, từng hoàn cảnh cụ thể, từ đó đưa ra một kế hoạch riêng phù hợp cho từng bệnh nhân. Trong rất nhiều trường hợp, sự phối hợp giữa các bác sĩ giỏi của nhiều chuyên khoa như phục hình, phẫu thuật nướu, v.v… sẽ đóng góp rất nhiều cho một trường hợp điều trị thành công.