Bạn không hài lòng với hàm răng không đẹp của mình, bạn muốn tìm một phương pháp cải thiện hiệu quả. Chỉnh nha niềng răng là phương pháp tối ưu nhất dành cho bạn. Bạn sẽ bất ngờ với một hàm răng đều và đẹp của mình. Vậy sau khi niềng răng đẹp cỡ nào, cùng theo dõi nhé!
Chỉnh nha niềng răng là gì?
Kết quả sau khi chỉnh nha niềng răng đẹp cỡ nào
Kết thúc quá trình điều trị, kết quả mang lại chắc chắn sẽ khiến bạn bất ngờ với hàm răng đều đẹp, thẳng tấp khiến nụ cười của bạn duyên dáng hơn, không chỉ thế trong quá trình chỉnh nha bác sĩ sẽ lên phác đồ phân tích tỷ lệ cân đối giữa khuôn mặt và nụ cười nên sau khi kết thúc quá trình niềng răng gương mặt cũng sẽ thay đổi, bạn sẽ xinh hơn rất nhiều so với trước. Những hình ảnh sau đây sẽ minh chứng cho sự thay đổi của gương mặt sau khi niềng răng
Chỉnh nha niềng răng thật chất là kỹ thuật nắn chỉnh những răng mọc lệch về đúng vị trí mong muốn, bằng những khí cụ như mắc cài và dây cung. Những khí cụ này được gắn cố định lên răng tạo ra lực kéo nhẹ nhàng và ổn định giúp răng di chuyển một cách từ từ về đúng vị trí như dự định. Sự dịch chuyển nhỏ từng chút từng chút này sẽ mang lại cho bạn một kết quả khiến bạn hoàn toàn bất ngờ.
Hàm răng của Hồng Nhung trở nên hoàn hảo hơn sau khi niềng răng

Nụ cười duyên dáng hơn với hàm răng hoàn hảo của Ca sĩ Thủy Tiên sau khi được chỉnh nha niềng răng
Sự thay đổi ngoạn mục về gương mặt của Ca sĩ Bảo Thy cho thấy niềng răng mang đến điều kỳ diệu như thế nào đối với nhan sắc của gương mặt.
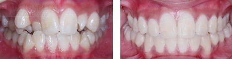
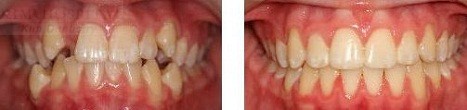
Tại Nha khoa Kim Dentistry đã có hàng nghìn ca chỉnh nha niềng răng thành công mang lại kết quả như ý. Trước và sau khi niềng răng là 2 hình ảnh khác nhau khiến bạn thực sự ngạc nhiên. Sau đây là những trường hợp đã điều trị tại Kim Dentistry:
Với kỹ thuật chỉnh nha niềng răng bạn không còn tự ti về hàm răng không đều, mọc chen chúc, hô, móm của mình. Một nụ cười duyên dáng với hàm răng hoàn hảo như những ngôi sao nổi tiếng là điều mà bạn hoàn toàn có thể có được khi điều trị tại Kim Dentistry! Hãy để chúng tôi chăm sóc và làm đẹp cho nụ cười của bạn
Các tin khác