Nụ cười của bạn có thể đẹp hơn nếu biết chú ý đến những điều sau đây:
1. Làm sạch các vết bẩn bám trên răng
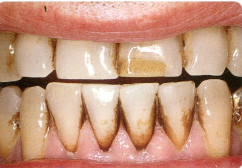
Chuyên môn nha khoa gọi những vết bẩn bám trên răng là stain, stain có nguồn gốc từ những thức ăn sậm màu như cà phê, thuốc là, socola, nhựa vỏ trái cây…
Sau khi đánh sạch những vết dính (stain) này, răng bạn trong sẽ trắng và sạch sẽ. Bạn nên nhờ nha sĩ đánh sạch stain cho bạn khi đi lấy vôi răng, nó còn giúp bề mặt răng bóng láng nên răng bạn sẽ ít bám vôi hơn.
Không nên dùng những cách dân gian để đánh sạch răng như bột than, vỏ cau, nước cốt chanh. Những chất này tuy làm sạch vết dính dễ dàng những sẽ làm trầy xước men răng của bạn, hoặc làm men răng bị vỡ do tính acid trong nước cốt chanh. Bột đánh bóng răng nha khoa được làm từ một loại đá có độ cứng thấp hơn men răng để không làm xước men răng. Trong bột đánh bóng còn có thêm một số phụ gia như flour giúp bảo vệ răng khỏi bệnh sâu răng.

Răng bị stain bám (trước điều trị)

Răng bị stain bám (sau điều trị)
2. Làm màu răng trắng sáng hơn
Theo tuổi tác, màu răng cũng trở nên vàng và sậm. Đó là do răng ngấm những màu trong thức ăn. Sự đổi màu này nằm bên trong ngà răng chứ không phải ở bề mặt như stain. Do đó bạn không thể làm cho răng trắng thật sự bằng cách đánh bóng đơn thuần như đã nêu trên.
Muốn có màu răng trắng hơn, bạn có thể nhờ nha sĩ tẩy trắng răng cho bạn. Lưu ý việc tẩy trắng răng bằng thuốc cần có sự theo dõi và tham vấn của bác sĩ nha khoa. Quá lạm dụng nó có thể gây hại.
3. Quan sát nụ cười của bạn trong gương, lưu ý không chỉ răng mà cả nướu
Bạn nên có cái nhìn tổng thể chứ đừng quá lưu ý đến chi tiết từng cái răng một. Hàm răng không bắt buộc phải thật đều đặn mới cho bạn nụ cười đẹp. Những lưu ý sau đây là cần thiết:
Đường giữa: là một đường tưởng tượng chia đôi gương mặt theo chiều dọc, nó buộc phải đi qua đỉnh mũi, nhân trung và kẽ 2 răng cửa giữa hàm trên. Khi kẽ 2 răng cửa giữa hàm trên bị lệch, miệng bạn cười như bị méo.
Độ hở răng cửa khi trò chuyện: khi nói, phải trong thấy mặt cắt răng cửa hàm trên. Độ hở răng cửa khi nói chuyện chừng 2-3mm là vừa. Hở răng nhiều quá trông ngô nghê, ngược lại nếu không thấy răng trông sẽ rất già và khó tính.
Độ hở lợi khi cười tươi: lúc cười lớn độ hở lợi chừng 2-3mm là vừa. Hở lợi quá nhiều có tên gọi là gummy smile, làm nụ cười không đẹp.
Màu lợi: màu lợi đậm, nhạt là do di truyền nhưng bắt buộc không được sưng, viêm do bệnh lý. Thông thường lợi hay bị viêm đỏ do vôi răng. Bạn chỉ cần nhờ nha sĩ lấy sạch vôi răng là màu lợi trở lại hồng hào khỏe mạnh.
4. Nhờ tư vấn nơi bác sĩ nha khoa
Sau cùng, bạn có thể nhờ tư vấn nơi một bác sĩ nha khoa tin cậy. Ngày nay có nhiều kỹ thuật nha khoa có thể góp phần tôn tạo thêm nụ cười đẹp cho bạn.
(Bài viết được thực hiện bởi bác sĩ Võ Quốc Tuấn (Nha khoa Lan Anh))